100% Porcelain Crowns.
Porcelain crowns are the closest match to natural teeth, both in beauty and strength. Each crown is made entirely of pure porcelain and carefully hand-layered by our Master Ceramist. The result? A restoration that mirrors the colour, translucency, and natural shine of real enamel, so natural that even up close, it’s hard to tell the difference. And these crowns fit as perfectly as they appear: the core structure is computer milled for pinpoint accuracy before being hand finished under a microscope by our Master Ceramist, Stephen Fennell, who says:
- Historically, porcelain crowns had a metal substructure to be strong enough to last in the mouth.
- This metal substructure blocked natural light transmission through the tooth, often leaving the crown with a rather dead appearance.
- Today, with the use of enormously strong ceramic substructures, we can make metal-free, all-porcelain crowns that have a vitality that approaches natural teeth.
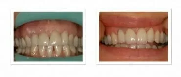
Having Porcelain Crowns Means No More:
- Black lines at the top of the crowns
- Opaque, flat, dead-looking teeth that stand out like sore thumbs
- Misshapen “teeth” with big black triangles on either side
- Swollen gums around in-precise crowns that never fitted properly

Beauty, Strength, and Function – with these crowns you really can have your cake and eat it!
Our Approach To Dental Crowns
At your first visit, we’ll prepare the tooth, take impressions, and carefully select the shade to match your surrounding teeth.
We look to preserve as much of the original tooth as possible. If veneers, inlays or white fillings are an option for you, then we will offer those to consider as a first step. However, crowns are often wanted to improve the appearance of the teeth, and if crowns are the best course of action, after the impressions, we will prepare the tooth.
Zirconia is the strongest Ceramic around (they clad the space shuttle in it to prevent it from burning up on re-entry). The latest Zirconia has been re-engineered to make light pass through it like natural enamel while masking the discolouration of the old tooth structure beneath. Beauty and Strength.
For most of our tooth crowns, we use the latest Ceramic Zirconia material. Whilst the permanent crown is being made by the cosmetic lab, we will give you a temporary crown.When you come back to the practice, the crown is closely fitted onto the prepared tooth and is permanently bonded for strength.Our dental implant systems use these high-quality cosmetic crowns, and our dentists are experienced in achieving the ideal shape and shading. All our treatment here at Winning Smiles is highly cosmetic in nature.
The long-term appearance is as important to us as the longevity of the tooth function.





.webp)
